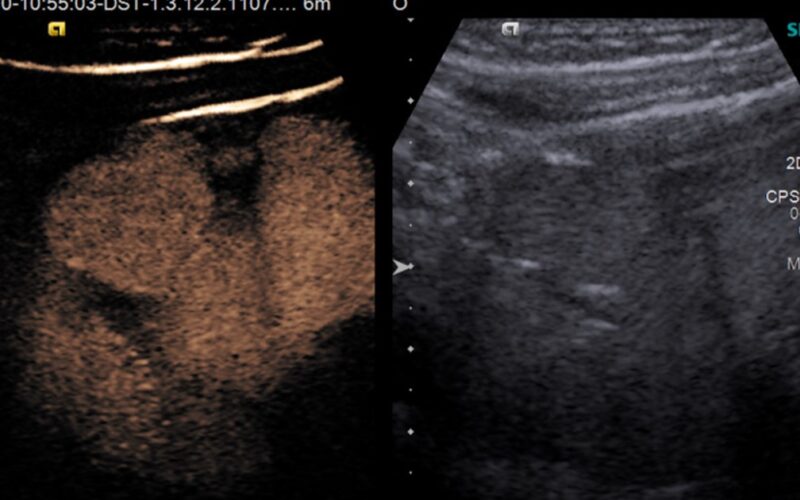
Ultrazvučna kontrastna mikciona urografija – cistografija (CeVus) je visoko osetljiv dijagnostički postupak u otkrivanju veziokoureteralnog refluksa, koji je u dečijem uzrastu najčešći uzrok ponovljenih urinarnih infekcija.
Ova metoda koristi ultrazvučno kontrastno sredstvo koje se direktno kateterskom tehnikom plasira u mokraćnu bešiku i na taj način omogućava praćenje kontrastnog sredstva, BEZ primene jonizujućeg zračenja.








